Kelurahan Pekalipan Laksanakan Muskel Verifikasi dan Validasi Data Penerima Bantuan Sosial
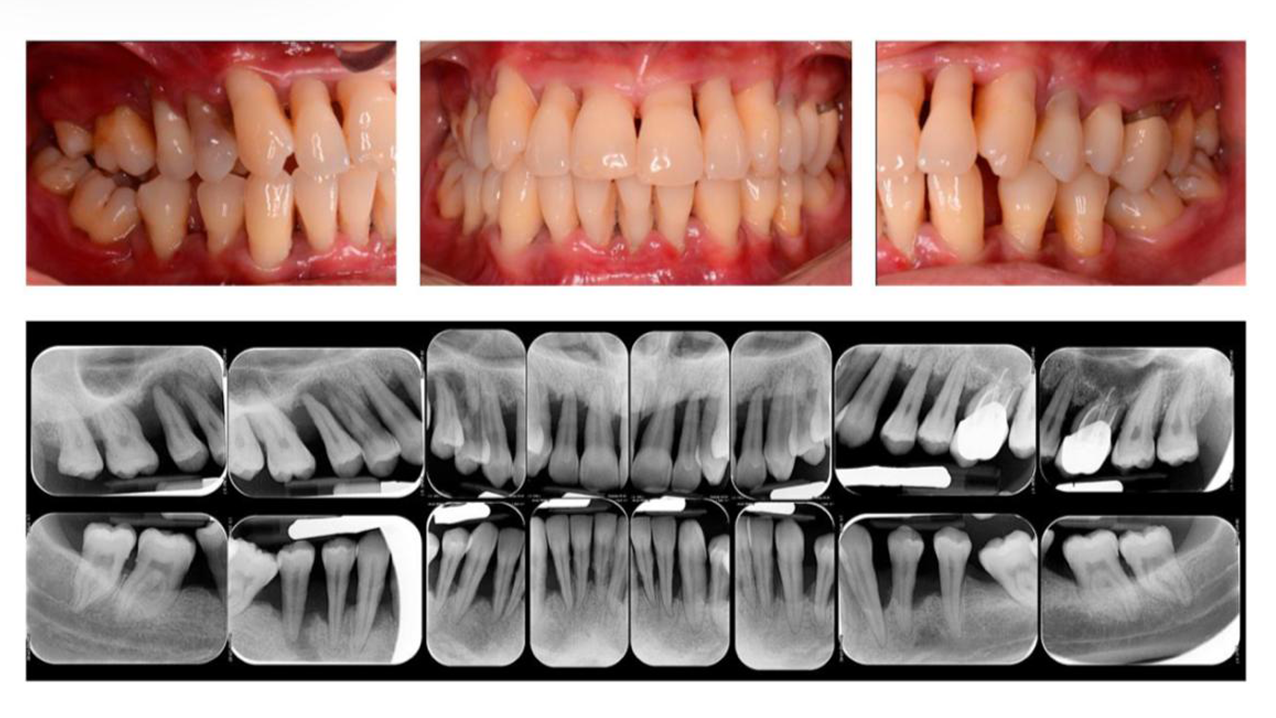
Penyakit periodontal merupakan kondisi peradangan kronis mengenai jaringan pendukung gigi yang meliputi gingiva, ligamentum periodontal, sementum, dan tulang alveolar.
Cirebon - Pelaku Usaha Mikro, Kecil, dan Menengah (UMKM) di Kota Cirebon kembali mendapatkan dukungan konkret dari pemerintah kota melalui pembukaan Pelatihan UMKM Go Global dan Go Modern serta Pelatihan Digital Marketing untuk Go Online da...
dang Koperasi dan UKM DKUKMPP Kota Cirebon menyelenggarakan kegiatan Pelatihan UMKM Go Global dan Go Modern pada Senin, 1 Desember 2025, bertempat di Aula 1 DKUKMPP Kota Cirebon.
Cirebon - Upacara peringatan Hari Ulang Tahun ke-54 KORPRI, Hari Ulang Tahun ke-80 PGRI, dan Hari Guru Nasional tingkat Kota Cirebon yang digelar di halaman Balai Kota pada Senin (1/12/2025) berlangsung khidmat. Acara ini tidak hanya menjad...
Cirebon Batik Festival 2025 telah sukses dilaksanakan pada 29–30 November 2025 bertempat di Area Paviliun Grage Mall Cirebon. Gelaran ini berlangsung meriah dengan antusiasme tinggi dari masyarakat, pelaku UMKM, pegiat batik, hingga generasi muda yang turut mengambil bagian dalam rangkaian kegiatan.
HARI AIDS SEDUNIA
Cirebon Batik Festival 2025 resmi dibuka pada Sabtu (29/11/2025) di Paviliun Grage Mall Cirebon. Kegiatan yang menjadi ruang apresiasi bagi pelaku UMKM batik ini dibuka langsung oleh Ibu Wali Kota Cirebon, Noviyanti Edo, SE., yang juga menjabat sebagai Ketua Dekranasda Kota Cirebon.